
La psoriasi è una malattia cronica della pelle caratterizzata da un decorso ondulatorio. Molto spesso, la psoriasi si manifesta come una lesione cutanea specifica, che può essere localizzata su qualsiasi area della pelle.
La psoriasi iniziale non può sempre essere riconosciuta immediatamente. Tuttavia, ciò è possibile se si presta attenzione tempestivamente ai sintomi caratteristici. Se consulti un dermatologo in tempo, lo sviluppo dell'eruzione cutanea può essere rallentato e fermato. Pertanto, è importante sapere quali segni indicano la presenza di patologia.
Cause della psoriasi. Fase iniziale
Non ci sono fatti attendibili su questo argomento. La psoriasi non è una malattia completamente compresa. Tuttavia, ci sono fattori noti che possono contribuire al suo verificarsi:
- predisposizione genetica (tra i fattori più comuni);
- disfunzione del sistema immunitario (spesso provoca anche l'insorgenza della psoriasi);
- problemi endocrini;
- recente infezione da streptococco (mal di gola)
- la presenza di malattie croniche (soprattutto infiammatorie);
- cattive abitudini come la dipendenza da alcol e sigarette;
- stress frequente.
La psoriasi può essere riscontrata in persone di qualsiasi sesso ed età. Tuttavia, più spesso ne sono sensibili le persone di età superiore ai 25-30 anni.
Sintomi della fase iniziale
Con la psoriasi nella fase iniziale, i sintomi sono lievi. Tuttavia, puoi notarli.
Per capire come inizia la psoriasi, dovresti prestare attenzione ai seguenti sintomi tipici:
- Aumento della secchezza e desquamazione della pelle. Una persona avverte fastidio alla pelle nei gomiti, nelle ginocchia, nella parte bassa della schiena e nel cuoio capelluto. Tuttavia, queste aree possono differire da caso a caso.
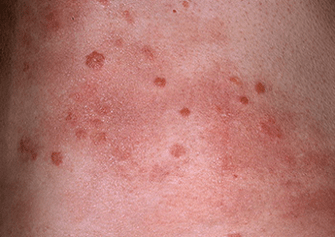
- Presenza di eruzioni cutanee specifiche. Tipiche della psoriasi sono piccole papule rosso-rosate (elementi eruzioni piatti, leggermente rialzati sopra il livello della pelle) con confini chiari, che si fondono gradualmente tra loro.
- Squame sulla superficie dell'eruzione cutanea. Hanno un colore argentato o biancastro. Si rimuovono facilmente dalle eruzioni cutanee, ma ciò può portare alla formazione di crepe o alla comparsa di sensazioni soggettive spiacevoli.
In alcuni tipi di psoriasi (“pustolosa”), l'eruzione cutanea potrebbe non presentarsi sotto forma di macchie, ma sotto forma di piccole formazioni convesse con contenuto purulento all'interno. Nella foto della forma iniziale della psoriasi puoi vedere come si manifestano i diversi tipi di psoriasi e i loro sintomi.
Con la psoriasi delle unghie, l'eruzione cutanea colpisce principalmente la placca. In questo caso i segnali iniziali sono i seguenti:
- la formazione di piccole depressioni sulle unghie (il sintomo del “ditale”)
- cambiamenti nella struttura della lamina ungueale: l'unghia si ispessisce e diventa fragile
- cambiamento nel colore della lamina ungueale: l'unghia può acquisire una tinta gialla, sotto l'unghia compaiono macchie rosso-arancio
- ispessimento della pelle sotto l'unghia;
- allentamento del piatto e sua desquamazione (non sempre);
- piccole linee longitudinali scure sotto la lamina ungueale (sintomo aspecifico, derivante da emorragia sotto la lamina ungueale)
- arrossamento del foro dell'unghia.
Le foto dei sintomi della fase iniziale della psoriasi ti aiuteranno a navigare meglio.
I primi sintomi sono piuttosto vaghi e non si manifestano chiaramente. Inoltre, sono simili ai sintomi di alcune altre malattie dermatologiche, il che può portare a difficoltà nella diagnosi. Per questo motivo è estremamente importante fissare immediatamente un appuntamento in ospedale per una diagnosi più accurata.
Tutti gli stadi della psoriasi
Ci sono tre fasi chiave nello sviluppo della malattia:
- Fase iniziale o progressiva. Sulla pelle compaiono numerose piccole papule. Una caratteristica distintiva di questo stadio della malattia è la comparsa di eruzioni cutanee in aree di recente trauma cutaneo; come appare la psoriasi nelle fasi iniziali può essere visto nella foto.
- Stazionario. Le eruzioni cutanee diventano più grandi e iniziano a fondersi tra loro, formando grandi placche dai contorni poco chiari. Non compaiono nuovi elementi dell'eruzione cutanea, ma sulla superficie dell'eruzione si formano un gran numero di squame.
- Finale. L'eruzione cutanea inizia a diminuire e gradualmente scompare da sola. Potrebbe lasciare una leggera pigmentazione, che scomparirà da sola nel tempo, o un'area di colore più chiaro rispetto alla pelle sana circostante.

Spesso sorge la domanda: "la psoriasi prude nella fase iniziale e ultima"? Per la psoriasi, il prurito è un sintomo insolito; potrebbe non esistere.
Ad ogni riacutizzazione, la malattia attraversa tutte e tre le fasi in ordine. Tuttavia, se il trattamento viene iniziato proprio all'inizio della prima fase, è possibile prevenire la progressione dell'eruzione cutanea.
Per la maggior parte delle persone, i sintomi sono ciclici. Di solito durante l'epidemia successiva persistono per diverse settimane, per poi indebolirsi gradualmente e scomparire. La forma della psoriasi incipiente determina l'aspetto delle foto e dei sintomi reali
Trattamento della fase iniziale della psoriasi
Quando rilevi i primi segni sospetti, devi contattare un dermatologo.
La psoriasi allo stadio iniziale richiede un trattamento minimo con i farmaci. Principalmente esterno.
Tipicamente utilizzato:
- Unguenti e creme non ormonali. Costituiscono la base della terapia poiché possono essere utilizzati in qualsiasi stadio della malattia, anche durante la remissione. Agiscono delicatamente e spesso non hanno effetti collaterali. Allevia desquamazione, arrossamenti, sensazioni soggettive e rallentano i processi infiammatori.
- Unguenti e creme ormonali. Nella fase iniziale della malattia vengono solitamente utilizzati per infiammazioni gravi o un tipo speciale di psoriasi (essudativa). Questi farmaci possono far fronte rapidamente all'infiammazione nella zona cutanea interessata. Tuttavia, gli unguenti e le creme ormonali non sono adatti per l'uso continuo poiché possono causare effetti collaterali con l'uso prolungato. Le foto dimostreranno meglio la portata dell'inizio della psoriasi, sia negli adulti che nei bambini.
- Gel e creme idratanti. Lenire e ammorbidire la pelle. Può essere usato come cura aggiuntiva.
- Complessi vitaminici. Una misura aggiuntiva per sostenere la forza del corpo e la resistenza alle malattie. Innanzitutto, la vitamina A viene utilizzata per la psoriasi, poiché influenza la divisione cellulare delle cellule della pelle e il processo di formazione delle squame. Nella fase progressiva della malattia, i complessi multivitaminici, di regola, non vengono prescritti.
- Procedure fisioterapeutiche. Particolarmente efficace nelle fasi iniziali. La fototerapia (UVB o PUVA), così come l'esposizione agli eccimeri ai raggi UV e al laser, sono più spesso prescritte.
Nella maggior parte dei casi, i farmaci vengono prescritti da un medico. Diversi farmaci possono essere usati in combinazione. Se i segni della malattia sono lievi, puoi fare a meno dei farmaci per via orale e utilizzare solo formulazioni esterne non ormonali.
Prevenzione della fase iniziale della psoriasi
Le misure preventive aiutano a ritardare le manifestazioni della malattia e quindi a prolungare il periodo di remissione. Se segui direttamente le regole di prevenzione durante un attacco, queste aiuteranno a ridurre i sintomi e ad accelerare il recupero.
Le principali misure preventive sono:
- Eliminazione dello stress. O la sua minimizzazione. Lo stress interrompe notevolmente il funzionamento del sistema nervoso, influenzando seriamente le condizioni generali del corpo. Per affrontare meglio il tuo umore emotivo, puoi iscriverti a un corso di psicoterapia. Le lezioni possono essere individuali o di gruppo.
- Dieta. La dieta dovrebbe essere sana, equilibrata e contenere cibi ipoallergenici. La base del menu sono proteine, verdure crude e prodotti a base di latte fermentato. Dovresti evitare cibi spazzatura come dolci e prodotti da forno. Anche i cibi fritti e affumicati, i cibi piccanti e troppo salati e i cibi in scatola non sono i benvenuti. Su Internet puoi trovare foto della psoriasi all'inizio della malattia e dopo aver stabilito una dieta.
- Bevi molti liquidi. Di solito si consiglia di bere 1,5-2 litri di acqua purificata al giorno. Tuttavia, è importante concentrarsi sui propri sentimenti e non seguire ciecamente le raccomandazioni.
- Complessi vitaminici. È consigliabile che le vitamine vengano prescritte da un medico, dopo i test.
- Modalità. Mangiare, alzarsi e andare a letto dovrebbero essere programmati. Ciò rende più facile per il corpo mantenere una corretta attività. Si consiglia di alzarsi e andare a letto presto.
- Aria fresca. È importante fare passeggiate all'aria aperta ogni giorno. Riduce lo stress ed è generalmente benefico per il corpo.
- Cura della pelle. Vale la pena usare regolarmente creme emollienti e idratanti. Soprattutto dopo i trattamenti dell'acqua.
- Vestiti e scarpe comodi. Realizzato con materiali morbidi naturali. Le scarpe devono adattarsi correttamente e gli indumenti devono essere larghi.
- Consultazioni regolari con un medico. Ed esami. Ciò ti aiuterà a monitorare le condizioni del tuo corpo e ad aumentare la probabilità di prevenire la psoriasi.
Pertanto, le foto dei sintomi della psoriasi cutanea nelle fasi iniziali e successive mostrano chiaramente i fastidi di questa malattia. Pertanto, vale la pena prendersi cura della prevenzione.
È importante ricordare che nella stragrande maggioranza dei casi la psoriasi si manifesta a causa di un forte stress. Pertanto, prima di tutto, è importante prendersi cura di uno stato d'animo armonioso e di una routine quotidiana.

















